Las afectaciones del aparato musculoesquelético (huesos, articulaciones, músculos, etc…) es una de las principales razones de visita al médico de atención primaria al año, y produce mucha limitación funcional en la vida de un paciente.
Tener unas buenas costumbres muchas veces no es suficiente para mantener nuestra salud y poder disfrutar de ella, en ocasiones pueden ocurrir traumatismos, lesiones o accidentes inesperados, o nuestras actividades del día a día sobrecargar determinadas estructuras de nuestro cuerpo si no se mantienen fuertes y cuidadas. Es en esos casos cuando un paciente debe acudir al especialista para tratar o solucionar una afección que le está disminuyendo la calidad de vida.
¿Qué es un cirujano ortopédico?
Los cirujanos ortopédicos somos médicos especialistas que se dedican al diagnóstico y tratamiento de las patologías que afectan a los huesos, articulaciones, ligamentos, tendones y músculos. Tanto en el tratamiento no quirúrgico como en el quirúrgico.
Hemos realizado 6 años de licenciatura de medicina y 5 años de formación de la especialidad en Traumatología y Cirugía Ortopédica. La especialidad se puede subdividir en distintas áreas: Infantil, Fracturas, Deportiva, Columna, Extremidad inferior: Cadera, Rodilla, Pie y tobillo y Extremidad superior: Hombro, codo y mano. Cada vez es más frecuente que los traumatólogos nos subespecialicemos para poder abordar de forma más integral y profunda cada una de las afecciones que presentan nuestros pacientes.
¿Quiénes son nuestros pacientes?
Tratamos a cualquier paciente con afectación del sistema locomotor, desde el nacimiento hasta la vejez, con afectaciones congénitas (desde el nacimiento), traumáticas (fracturas, luxaciones, roturas) o degenerativas (escoliosis, artrosis…etc). No solo con la prevención y seguimientos sino también aplicando cirugía en caso de ser necesario. Si tiene duda sobre si su patología es de nuestra especialidad consulte con su médico de Atención primaria
¿Qué es la SECOT?
La sociedad española de Cirugía Ortopédica y Traumatología (SECOT) es una asociación medico científica que promueve el avance del conocimiento científico y el papel central del Cirujano Ortopédico - Traumatólogo con el objetivo de promover, crear y comunicar el conocimiento del aparato locomotor para garantizar la movilidad, la salud y la calidad de vida de los pacientes. (https://www.secot.es/que-es-la-secot) Y como los Traumatólogos tenemos como centro y eje de nuestra actividad al paciente, queremos acercaros a nuestra patología, para juntos mejorar nuestra salud.
CONCEPTOS GENERALES SOBRE LAS FRACTURAS
¿Qué es una fractura?
Es una rotura parcial o completa de un hueso. Son consecuencia de un traumatismo directo o indirecto que supera la resistencia del hueso.
Figura 1. Obsérvese la pérdida de continuidad del hueso en varios fragmentos en la tibia y en el peroné.
Las fracturas también pueden deberse a enfermedades que debilitan los huesos, como la osteoporosis o el cáncer de hueso.
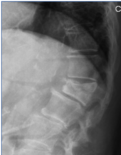
Figura 2. Radiografía lateral de la columna. La flecha señala una fractura vertebral por osteoporosis. La vertebra se acuña.
El uso excesivo o los movimientos repetitivos pueden agotar los músculos y poner más presión sobre el hueso. Esto causa fracturas de estrés o de esfuerzo. Esto es más común en deportistas.
¿Cuáles son los síntomas de una fractura?
Sospechar una fractura tras un traumatismo si aparecen estos síntomas:
- Dolor
- Dificultad para usar o mover la zona o las articulaciones cercanas
- Inflamación
- Deformidad evidente
- Hematoma o enrojecimiento
¿Cómo se diagnostica una fractura?
Es importante realizar una historia médica completa (que incluye preguntar cómo se produjo la lesión) y un buen examen físico antes de realizar pruebas de imagen.
Los estudios para diagnosticar una fractura pueden incluir los siguientes:
- Radiografía simple (RX). Es la prueba básica e indispensable para valorar las fracturas. Se utiliza Rayos X (radiación ionizante) para obtener la imagen de los huesos.
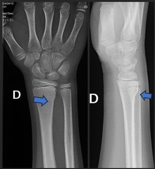
Figura 3. Imagen de RX simple donde la flecha señala una fractura de radio distal. Se observa un escalón que indica la ruptura del hueso.
- Resonancia magnética (RM). Es la prueba indicada para valorar los tejidos blandos (músculos, meniscos, ligamentos). Se obtiene la imagen utilizando imanes grandes y radiofrecuencias.
Figura 4. Obsérvese línea de fractura en tibia distal sin afectación de la cortical del hueso
- Tomografía computarizada (escáner o TAC). Esta es una prueba que combina el uso de radiografías en múltiples direcciones para obtener una imagen reconstruida de la estructura de los huesos, los músculos, la grasa y los órganos.
Figura 5. Imagen de reconstrucción tridimensional por TAC, donde se observa una fractura de cabeza de humero.
¿Cómo se trata una fractura?
El objetivo del tratamiento es recolocar el hueso en su lugar, controlar el dolor, estabilizar el hueso para que tenga tiempo de soldar, prevenir complicaciones de mal posicionamiento y restablecer el uso normal del área fracturada.
El tratamiento puede incluir:
- Medicamentos. (Analgésicos o Antinflamatorios) para controlar el dolor.
- Tracción. La tracción es el uso de una fuerza uniforme para estirar ciertas partes del cuerpo en una determinada dirección para estirar los músculos y tendones alrededor del hueso roto para ayudar a que los extremos del hueso se alineen y sanen.
- Reducción cerrada o abierta: Todas las fracturas con acortamiento o desviaciones hay que corregirlas, hay que reducirlas. Se hará manipulando los fragmentos, aplicando una fuerza para colocar el hueso en su sitio.
La reducción es cerrada si durante el procedimiento la piel se mantiene intacta y será una reducción abierta si precisa realizar una incisión en la piel y en los tejidos para poder controlar mejor los fragmentos del hueso roto.
Estas reducciones se pueden realizar bajo anestesia local o bajo anestesia general.
Figura 6. Se muestran las maniobras de reducción y tracción para conseguir alinear la fractura.
- Inmovilización con Férula o yeso cerrado: Una vez reducido y alineado el hueso se inmoviliza la fractura con una escayola o con una férula. Inmovilizando también las articulaciones vecinas para evitar el movimiento mientras el hueso suelda. Puede ser un tratamiento temporal (se inmoviliza hasta esperar a la cirugía definitiva) o bien el tratamiento definitivo.
- Cirugía. Puede ser necesaria la cirugía para recolocar el hueso roto en su lugar, especialmente en fracturas desplazadas o inestables. Al procedimiento quirúrgico que se utiliza para fijar una fractura una vez reducida mediante algún dispositivo se llama osteosíntesis.
Esto se puede realizar de 2 formas:- Fijación externa: Se colocan unos pines metálicos sujetando los fragmentos del hueso unidos a una barra metálica que permite la estabilización de la fractura por fuera del cuerpo.
Figura 7. Radiografía simple de un fijador externo para el tratamiento de una fractura de humero. Imagen real del fijador.
- Fijación interna: El dispositivo de fijación (placas, tornillos, agujas o clavos) están insertados dentro del cuerpo.
Figura 8. Osteosíntesis de fractura de escafoides fijada con tornillo.
Figura 9. Placas de osteosíntesis para distintas fracturas.
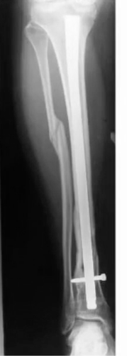
Figura 10. Radiografía de una fractura de tibia tratada con un clavo endomedular.
- Fijación externa: Se colocan unos pines metálicos sujetando los fragmentos del hueso unidos a una barra metálica que permite la estabilización de la fractura por fuera del cuerpo.
ARTROSCOPIA DE RODILLA
¿Qué es la articulación de la rodilla?
La rodilla es una articulación muy importante de los miembros inferiores. Está formada por la unión del fémur y de la tibia, uniendo el muslo y la pierna. La superficie de los huesos está recubierta por cartílago articular que permite el suave deslizamiento entre los huesos de la rodilla.
En su interior tiene un pequeño hueso, la rótula, que articula con el fémur, y dos discos de fibrocartílago, los meniscos, que funcionan como amortiguadores y lubricantes ayudando a distribuir el peso del cuerpo.
Está envuelta por una cápsula articular y por ligamentos que mantienen unidos los huesos y son parte integral de la estabilización de la rodilla. El ligamento cruzado anterior (LCA) evita el movimiento excesivo hacia adelante de la tibia sobre el fémur, el ligamento cruzado posterior (PCL), el Ligamento colateral medial (MCL) y el Ligamento colateral lateral (LCL).
Además, en ella se insertan músculos que ayudan a proporcionar estabilidad y permitir el movimiento. Los principales músculos que rodean la rodilla son el cuádriceps (parte delantera del muslo), los isquiotibiales (parte posterior del muslo) y los gemelos (parte posterior de la parte inferior de la pierna).
¿Qué es una artroscopia de rodilla?
Una artroscopia es una cirugía donde se inserta una cámara a través de unas pequeñas incisiones para poder mirar por dentro de la articulación, evaluar los daños existentes y repararlos. Se utilizan instrumentales adaptados para trabajar por dentro sin necesidad de hacer grandes incisiones.
¿Qué tipo de anestesia se emplea para hacer una artroscopia?
Por lo general se emplea anestesia local que adormece sólo la rodilla y algo de sedación para que esté tranquilo durante la intervención.
En determinadas condiciones el anestesista podrá indicar la necesidad de realizar una anestesia diferente (regional que adormece el cuerpo por debajo de la cintura o general).
¿Qué tengo que hacer después de mi cirugía?
- Mantenga su pierna elevada lo más posible durante los primeros días después de la cirugía.
- El hielo puede ser útil para reducir el dolor o la inflamación. No aplique el hielo directamente sobre la piel, envuelva una bolsa de hielo con una toalla húmeda y aplique durante 10-15 minutos, cada 3-4 horas.
- Debe de mover la rodilla desde el mismo día de la intervención, realizando ejercicios de flexo-extensión (doblar y estirar) la rodilla.
- Mantenga las heridas limpias y secas. Siga las indicaciones de enfermería sobre el cuidado de heridas al alta.
¿Podré apoyar después de la cirugía?
La mayoría de los pacientes necesitan muletas después de la cirugía. Podrá pisar si no existe contraindicación por su cirujano.
¿Me va a doler mucho?
Es normal sentir algo de dolor a medida que desaparece la anestesia.
Deberá cumplir la pauta analgésica incluida en el informe de alta. Es importante tomarlos según lo prescrito para mantener el dolor al mínimo.
¿Cuándo podré conducir y trabajar?
No debe conducir mientras usa muletas.
La incorporación laboral deberá discutirse con su cirujano, dependerá del trabajo que realice.
¿Cuándo podré volver a mi actividad deportiva?
Dependerá del tipo de cirugía y de los controles posteriores.
La bicicleta estática es un buen ejercicio que podrá realizar tras la retirada de puntos.
Deberá consultar con su cirujano para su incorporación deportiva, dependiendo del deporte practicado.
Signos de alarma
Deberá consultar con su médico si presenta cualquiera de los síntomas siguientes:
- Fiebre
- Escalofríos
- Zona de calor o enrojecimiento persistente alrededor de la rodilla
- Dolor persistente o en aumento
- Inflamación significativa en su rodilla
- Dolor en aumento en el músculo de su pantorrilla
Dejar de fumar antes de la Cirugía ortopedia
¿Por qué debes dejar de fumar antes de tu operación?
Todos sabemos que fumar afecta nuestra salud a largo plazo y aumenta considerablemente el riesgo de complicaciones durante y después de la cirugía ortopédica. Se puede reducir este riesgo si dejas de fumar lo antes posible de tu operación.
Te recomendamos encarecidamente que aproveches esta oportunidad para dejar de fumar para siempre. Con ayuda y apoyo, puede que te resulte más fácil de lo que pensabas. Fumar es muy adictivo y en muchas ocasiones un hábito social, pero existen distintas terapias para ayudar a controlar o disminuir los síntomas de abstinencia.
Consulta con tu médico de atención primaria para aconsejarte sobre las más adecuada para ti.
¿Dejar de fumar antes de una operación sirve de algo?
Existe mucha evidencia de que dejar de fumar antes de tu operación:
- Reduce las complicaciones pulmonares, cardíacas e infecciosas.
- Reduce el tiempo de curación del hueso después de la cirugía: los fumadores tienen el doble de probabilidades de sufrir una pseudoartrosis o retardo de consolidación (el hueso no se cura) que los no fumadores.
- Reduce la tasa de fracaso de los implantes (como reemplazos de tobillo, rodilla y cadera).
- Reduce la duración de la estancia en el hospital.
- Reduce las complicaciones relacionadas con la anestesia.
- Mejora el tiempo de cicatrización de heridas debido al aumento de oxígeno a los tejidos.
- Mejora la absorción de calcio y vitamina D, necesaria para la salud ósea.
- Reduce los problemas respiratorios. (Si fuma, tiene un riesgo de uno en tres de tener problemas posoperatorios. Esto se puede reducir a uno de cada diez si deja de fumar ocho semanas antes de la operación.)
Mensaje para llevar a casa:
Las complicaciones del tabaco se pueden reducir del 52% al 18% si se deja de fumar al menos unas 6-8 semanas antes de la cirugía.
Al dejar de fumar, puede volver a una vida normal más rápido, ahorrar dinero, mantenerse activo con su familia y tener una mejor salud en el futuro.
Los beneficios para la salud de dejar de fumar comienzan casi de inmediato (consulte la tabla a continuación) y son basados en evidencia.
Otros beneficios de dejar de fumar incluyen:
- Proteger la salud de familiares y contactos al reducir su exposición al humo de segunda mano.
- Aumento de la esperanza de vida. Fumar puede acortar la esperanza de vida en más de 10 años.
- Reducir el riesgo en los niños de bronquitis, neumonía, ataques de asma, meningitis y infecciones de oído.
- Ahorro económico (un fumador de 20 cigarrillos al día gastará alrededor de unos 2000€ al año en cigarrillos).
Referencias:
- Vapeo y Cirugía Ortopédica. Una revisión del conocimiento actual (2019), JBJS, 7(1), pág.1-7.
- Tabaquismo y Cirugía. Acción sobre el Tabaquismo, Ficha informativa. 2014.
- El efecto del tabaquismo en la cicatrización ósea. BJR. Vol. 2 (6), pág. 102-111.
- Hernigou, J y Schuind, F., (2019). Tabaco y fracturas óseas. Investigación sobre huesos y articulaciones. doi: org/10.1302/2046-3758.56.BJR-2018.0344.R1.
FRACTURAS EXCLUSIVAS DE LOS NIÑOS
FRACTURA EN RODETE O TORUS
Es una fractura por colapso de la metáfisis del hueso, por compresión. Es estable y no precisa tratamiento quirúrgico. Cura sin secuelas. El tratamiento es inmovilización durante 2-3 semanas con una férula o con una muñequera rígida.
La localización típica es en muñeca, aunque también se puede ver humero, fémur o tibia.
Figura 1. Radiografías AP y Lateral de muñeca. Las flechas señalan el abombamiento en el hueso que se ve por la compresión de la fractura.
FRACTURA EN TALLO VERDE
Es una fractura parcial o incompleta del hueso. Se produce por un mecanismo de angulación. El hueso se fractura en la parte convexa de la deformación manteniéndose integro el hueso en la zona cóncava. La localización típica es el antebrazo o la clavícula.
El tratamiento puede incluir la reducción cerrada y la inmovilización con escayola.
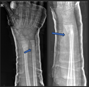
Figura 2. Radiografías AP y Lateral de muñeca. Las flechas señalan la fractura incompleta del cubito. Una de las corticales está rota y la otra se mantiene intacta.
DERFORMIDAD PLASTICA
No es una fractura, sino una angulación del hueso tras una angulación sin que este se llegue a romper. No son tan frecuentes como las otras fracturas, pero pueden producir limitación en el movimiento si no se reducen a tiempo. Se suele dar en el antebrazo o en el peroné.
Figura 3. La línea discontinua muestra la posición normal del hueso antes de la deformidad.
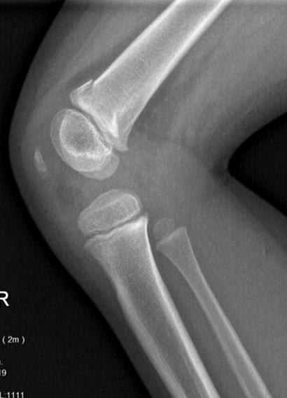
FRACTURAS EPIFISARIAS
Son fracturas que afectan la epífisis del hueso y el cartílago de crecimiento. Son muy frecuentes y pueden tener gran repercusión por las complicaciones que pueden derivarse en el crecimiento como las desviaciones, el frenado del crecimiento produciendo acortamientos o incluso necrosis avascular.
Figura 4. Radiografías Lateral de rodilla. La flecha amarilla señala el cartílago de crecimiento. La flecha azul señala la línea de fractura.
Infiltración de corticoides /anestésicos locales
¿Qué son las infiltraciones?
Son un tipo de inyección que se realiza dentro o fuera de las articulaciones para disminuir la inflamación y aliviar el dolor. Los lugares más frecuentes de su realización son la cadera, la rodilla, el hombro, el tobillo o el pie. Dependiendo de la localización se pueden realizar con control radiológico o con ecografía para mejorar la exactitud.
¿Cómo de efectivo es?
Los efectos NO son predecibles. En muchas personas se producen mejoras notables en los síntomas durante semanas, meses o incluso años y en otras no ocurre mejoría.
Si hace efecto, ¿Se puede repetir?
Las inyecciones se pueden repetir si los síntomas mejoran. No se suelen realizar más de 3 infiltraciones seguidas en el tiempo.
¿Qué se inyecta?
- Sólo corticoide. El corticoide es un medicamento con un potente efecto antiinflamatorio. La inyección de corticoide aislado tarda en hacer efecto. Esto significa que suele pasar una semana antes de que se sienta el beneficio.
- Anestésico local solamente. El anestésico local es responsable de cualquier mejoría inmediata, pero cuando el efecto desaparece, los síntomas generalmente regresan.
- Corticoide más anestesia local. Este es el tipo de infiltración más empleada. El anestésico local es responsable de cualquier mejoría inmediata, pero cuando el efecto desaparece, los síntomas pueden regresar. Esto no significa que el tratamiento haya fallado ya que el corticoide tarda en hacer efecto. Por lo general, pasa al menos una semana antes de que se sienta algún beneficio de esto.
Su médico decidirá la combinación de medicamentos.
Riesgos y efectos secundarios
Por lo general las infiltraciones mencionadas son seguras, pero pueden existir efectos secundarios.
Son efectos secundarios frecuentes:
- Entumecimiento u hormigueo en el área inyectada. Este efecto generalmente es transitorio y fruto del efecto del anestésico local.
- Aumento de las molestias durante unos días hasta que los medicamentos empiecen a hacer efecto. No es infrecuente que las primeras 24-48 horas tras la infiltración el paciente no sólo no experimente mejoría sino que puede experimentar un leve empeoramiento.
Son efectos secundarios muy infrecuentes:
- Entumecimiento u hormigueo en el área inyectada de forma permanente por lesión de un nervio
- Atrofia grasa cutánea. Se trata de la desaparición del tejido que se encuentra debajo de la piel
- Infección en la zona del pinchazo
Es IMPORTANTE que informe de inmediato al médico si:
- es diabético, tiene insuficiencia renal o está inmunodeprimido
- tiene alergias a medicamentos
- está tomando algún tipo de antiagregante o anticoagulante como sintrom, aspirina o warfarina ya que esto puede afectar a la realización del procedimiento.
- tiene un resfriado o tos persistente o está tomando antibióticos.
¿Cuáles son las alternativas?
Las alternativas al tratamiento serían el control de los síntomas con medicamentos antiinflamatorios o analgésicos o rehabilitación.
Recomendaciones para inmovilización con escayola
Acabas de sufrir una fractura y se acerca el verano, te contamos como cuidar y proteger tu escayola
¿Qué es una escayola?
Una escayola o yeso es una estructura que mantiene un hueso fracturado, es decir roto, en su lugar mientras éste consolida. Se suelen inmovilizar las articulaciones por arriba y abajo de la zona que hay que mantener fijas y alineadas.
Estas inmovilizaciones pueden ser:
- Cerradas: Es un yeso circular que cubre todo el hueso.
- Abiertas: Llamadas férulas o media escayola. Se componen de una capa de escayola sujeta con un vendaje.
¿De qué están hechos las escayolas?
La capa interna está compuesta por algodón u otros materiales sintéticos para que sea suave y mullido ya que está en contacto con la piel, es importante proteger las prominencias óseas.
La parte exterior o rígida del yeso está hecha de dos tipos de materiales diferentes:
- Yeso: un polvo blanco y pesado que forma una pasta densa y dura que solidifica rápidamente cuando se mezcla con el agua. Las escayolas de yeso pesan más que las de fibra de vidrio y no son tan resistentes al agua. Son las más utilizadas.
- Material sintético: fabricadas con fibra de vidrio, una especie de plástico moldeable. Pueden ser de distintos colores y son más ligeras. La parte más externa, o cubierta, es de fibra de vidrio y resistente al agua, pero la parte acolchada del interior no lo es.
¿Cómo se colocan las escayolas?
Primero, se envuelve la zona lesionada con varias capas de algodón suave. A continuación, la capa externa de yeso o fibra de vidrio se moja en agua y se coloca envolviendo la capa suave de algodón. La capa externa estará húmeda entre 24-48 horas, se secará para convertirse en una cubierta dura y protectora.
Instrucciones para el cuidado de las escayolas
- Mantenga la escayola limpia y seca.
- Proteja los bordes ásperos para evitar rasguños en la piel.
- No introduzca ningún objeto por dentro de la escayola para rascar la piel.
- Si le pica la piel por debajo de la escayola puede usar un secador en modo de “aire frío” para soplar aire y enfriar la piel.
- No utilice aire caliente para secar una escayola que se ha mojado.
- No ponga polvos de talcos ni cremas por dentro de la escayola.
- Mantenga la extremidad elevada por encima del nivel del corazón para reducir la inflamación.
- Mueva con frecuencia los dedos de la mano o del pie para activar la circulación.
¿Se pueden mojar las escayolas de yeso?
¡Bajo ningún concepto! Una escayola mojada se puede deshacer y romperse, aumentando el riesgo de movilización de los huesos que tiene que mantener fijos. La piel en el interior se va a macerar, irritar lo que podría acabar en una infección. Por lo tanto, hay que evitar sumergirse en el agua, en vez de ducharse, se debería asear con una esponja.
Para el aseo y durante el verano existen unos dispositivos especiales (mangas o escarpines) e impermeables para proteger la escayola del agua. (Se puede comprar en ortopedias, por Internet o en farmacias)
¿Cómo desplazarme si tengo una escayola y no puedo pisar?
En los casos en los que uno no puede pisar deberá desplazarse con ayuda de muletas, normalmente los niños menores de 8 a 9 años no son coordinados para caminar con muletas sin pisar, pero sí para hacer carga parcial por encima de 7 años. En estos casos se recomienda utilizar silletas o silla de ruedas.
En personas mayores o ancianos en vez de muletas pueden precisar andadores o carritos, o sillas de ruedas según le indique su traumatólogo.
Señales de alarma para acudir al médico
- Dolor que no cesa con analgesia pautada.
- Inflamación por encima o por debajo de la escayola.
- Dedos fríos, azulados o muy inflamados de las manos o los pies.
- Parestesias u hormigueos con incapacidad de movilizar los dedos.
- Secreción u olor desagradable proveniente de la escayola.
- Escayola húmeda o rota.
- Ampollas, heridas por debajo de la escayola.
¿Cómo se quitan las escayolas?
Los yesos cerrados se retiran con una sierra oscilante especial para escayola. Suelen hacer mucho ruido y es normal que asuste, y producir calor, pero con cuidado no tienen por qué cortar la piel ya que la hoja de la sierra es roma y redondeada y funciona vibrando. La vibración es lo bastante fuerte como para romper la fibra de vidrio o el yeso.
¿Qué aspecto tendrá la zona que ha estado escayolada?
La piel de la zona inmovilizada suele estar seca o escamosa; el pelo se verá más oscuro y abundante; y esa parte del cuerpo (sobre todo los músculos) se verá más pequeña o débil. Esto es temporal y con ejercicios específicos de potenciación ira recuperando la fuerza y la funcionalidad.
¿Puedo conducir con una escayola?
No. No está permitido hacer ninguna actividad que conlleve riesgo para el paciente y/o para los demás.
¿Qué pasa si tengo un vuelo programado y me ponen una escayola?
En caso de que tenga que coger un avión adviértalo a su médico porque no está permitido volar con yesos cerrados.
Figura 1. Yeso cerrado en brazo derecho para fractura de cubito y radio.
Figura 2. Férula posterior: Es media fractura que inmovilizara la pierna en su parte posterior, y va sujeta con vendaje elástico.
TU CIRUGÍA EN IMÁGENES
OSTEOSINTESIS CLAVO INTRAMEDULAR FRACTURA DE CADERA
Figura 1. Fractura pertrocantérea de cadera.
Figura 2. Incisión para insertar aguja guía por dentro del canal de fémur.
Figura 3. Colocación de clavo intramedular.
Figura 4. Colocación de tornillo cefálico.
Figura 5. Colocación de tornillo de bloqueo.
Figura 6. Incisiones. Radiografía de control final.